|

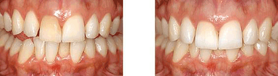
Una corona dental es, básicamente, una cobertura en forma de diente que se coloca encima de una muela severamente dañada. Son utilizadas cuando el daño o deterioro del diente es excesivo y no es suficiente una resina para reparar el desgaste ni para restaurar la muela. Las coronas también son utilizadas para cubrir dientes decolorados ya que envuelven la muela entera hasta las encías.
Estas coronas refuerzan el diente, de la misma manera que un yeso ayuda a remendar un hueso quebrado. Al mismo tiempo, pueden ser utilizadas para sujetar puentes dentales.
Una corona pueda mejorar la apariencia de sus dientes, los dentistas no recomiendan su uso solamente por razones de estética.
Para colocar una corona, se debe de eliminar una parte del diente deteriorado para hacer campo para ésta; por lo tanto, solo deben de ser colocadas cuando se necesita protección o soporte para la muela dañada.
Las coronas son manufacturadas con varios tipos de materiales, pero básicamente existes tres esenciales: oro, metal con cerámica y metal.


Esta cirugía es un método confiable y seguro por el medio del cual se reemplazan los dientes, ya sea que se hayan perdido varios o solo uno. Después de haberse sometido a este tratamiento, sus dientes se verán y se sentirán completamente naturales, aumentando su auto-estima y mejorando la manera en la que usted se relaciona con las otras personas.
Estos implantes conservan las proporciones del contorno facial y disminuyen las dificultades relacionadas a la pérdida de muelas. Si está disgustado con la apariencia de su sonrisa debido a sus dientes faltantes o si no se siente cómodo a la hora de masticar todo tipo de comida, este procedimiento puede ser perfecto para usted. Al terminar el tratamiento, usted podrá sonreír, hablar y comer cómodamente sin tener que preocuparse por nada.
Los implantes dentales generalmente son manufacturados de titanio y tienen la forma de un tornillo. La razón detrás de esto es porque el titanio no reacciona adversamente con los tejidos biológicos y se une con el hueso perfectamente. El implante es introducido en el hueso de la quijada y sirve como un ancla para la prótesis o el diente 'nuevo', reemplazando la raíz del diente natural que se ha perdido.
Como con todo otro tratamiento dentales necesario tener una consulta inicial. De esta forma, ambos, el paciente como el doctor, tendrán igual oportunidad de contribuir con sus puntos de vista durante todo el proceso, incrementando el nivel de satisfacción del cliente en todo momento. Durante esta consulta inicial, usted deberá preguntar abiertamente acerca de sus expectativas y sus dudas con respecto al procedimiento. Así, se logrará determinar qué es y qué no es posible alcanzar con el tratamiento, mejorando su apariencia de la mejor manera posible.
Debe de informarle acerca de sus hábitos de fumado, si es el caso, ya que este puede afectar el procedimiento y su recuperación posterior. En los casos de que una persona sea diabética sin control o que beba mucho alcohol o fume en exceso, no se recomienda realizar una cirugía de implantes dentales; estas condiciones usualmente alteran los resultados del tratamiento y la cirugía no es exitosa.
La colocación de implantes es una tratamiento rápido, que generalmente toma menos de una hora en ser realizado ya que puede llevarse a cabo en el consultorio y requiere solamente de anestesia local; no es necesario realizarlo en un quirófano o utilizar anestesia general. Sin embargo, si se necesita colocar más de un implante, puede tomar más tiempo.
El implante es insertado quirúrgicamente dentro del hueso de la mandíbula; dependiendo del caso se informara al paciente si fuera necesario colocar hueso para restaurar la perdida de este ultimo. Algunas cirugías de restauración de hueso pueden llevarse a cabo con anterioridad en el caso de que no existe suficiente estructura ósea para sujetar el implante.
Dependiendo del caso, su periodo de recuperación puede durar de 3 a 6 meses; después de esto, la prótesis temporal que se utilizara por el tiempo de recuperación, esta reemplazara al final por una permanente. Una corona o un puente según sea el caso.
En el caso de que el paciente no posea una estructura ósea mandibular lo suficientemente fuerte para soportar el implante, existe la técnica de 'injertos de hueso'. Este tratamiento de restauración consiste en tomar un trozo de hueso de un 'área donante' y colocarlo dentro de la mandíbula, donde el implante será insertado. Por lo general, el injerto es tomado de otra parte de la boca y el procedimiento es realizado por un cirujano dental. Aunque para fines mas practico se cuenta con hueso sintético, este es el mas convencional y mas practico.
Luego de la cirugía, puede esperar un poco de sangrado en sus encías, lo cual puede ser controlado al morder un pedazo de gasa por algunos momentos, hielo.. Desde luego, la inflamación también es normal pero puede mantenerse bajo control al aplicar compresas frías. Sus encías estarán muy sensibles por lo menos durante los primeros 10 días después del tratamiento. Durante toda la recuperación se deberá tener una medicación, de analgésicos, antinflamatorios y antibióticos, así como soluciones y enjuagues orales.

La mayoría de los pacientes, comentan que el malestar experimentado durante este tiempo es menor que el de una extracción de muela.
Por lo tanto, usted podrá retornar a sus actividades normales, como el trabajo, al día siguiente. No obstante, evite realizar cualquier tipo de ejercicio, o trabajo pesado, ya que pueda causar algún daño a su cara, como los deportes, durante los primeros días. Al mismo tiempo, recuerde que los implantes dentales implican un cuido meticuloso por parte del paciente; deberán de ser tratados como si fueran sus dientes naturales. Deben de limpiarse constantemente y debe de asegurarse de aplicar hilo dental regularmente


El tratamiento endodóntico trata el interior del diente. Si una caries infecta la cámara donde se encuentra el nervio, la única forma de salvar el diente sin extraerlo es con un tratamiento del conducto radicular.
Dentro de la dura cubierta exterior del diente hay una pulpa formada por vasos sanguíneos, vasos linfáticos y nervios que nutren al diente. Los conductos radiculares que contienen la pulpa se extienden hasta la parte terminal de la raíz llegando al hueso.
Una caries profunda o una lesión en la superficie del diente puede ocasionar graves daños e infecciones en los nervios y vasos de la pulpa. La endodoncia o tratamiento de conductos consiste en limpiar la cámara pulpar, así como los conductos infectados y colocar después un material de obturación para sellar esos espacios que fueron previamente limpiados y desinfectados.
El tratamiento de endodoncia es necesario cuando la pulpa dental se inflama o se infecta. Puede haber varias causas de inflamación: caries profunda, procedimientos dentales repetitivos, una fractura en el diente debido a algún golpe, etc. Si la inflamación o la infección de la pulpa no se trata, puede causar dolor y/o formar un absceso.
Señales de una pulpa afectada son: dolor espontáneo, sensibilidad prolongada al frío o al calor, cambio de color del diente, inflamación y molestia en la encía alrededor del diente afectado. Sin embargo, en algunas ocasiones estos síntomas pueden no presentarse.


Existen diferente tipos de blanqueamiento, el más efectivo y menos riesgoso es el sistema para usar en casa NiteWhite ACP, Este sistema emplea los mismos productos químicos que otros, como el Zoom o el láser, también incluyen un agente de sabor, geles de flúor para reducir la sensibilidad dental, que a veces es un efecto secundario del procedimiento de blanqueamiento en otros métodos.
El Procedimiento es muy sencillos, se toman impresiones de la boca del paciente primero para formar las bandejas de los dientes, estas serán suaves y personalizadas, las cuales en casa se usaran, colocando un hilo de gel en la bandeja y las bandejas se llevan a la boca y se ajustan en los dientes, los mas sencillo es dormir con las bandejas o usar en la noche alrededor por 8 días, los cambios se empezaran a notar desde el primer día. Para dientes con un cambio extremo de color se pueden usadas por un máximo de 2 semanas.
El blanqueamiento NiteWhite ACP puede lograr hasta 15 tonos de blanqueamiento. Los pacientes con dientes cariados o numerosos rellenos o coronas podrían no beneficiarse del procedimiento.



Realizamos prótesis totales de varios Materiales, con dientes en acrílico, resina, y porcelana, con terminados de accesorios en dientes. También Parciales, así como puentes removibles y flexibles.
Las Prótesis totales y parciales son elaboradas en acrílico Lucitone, la mas alta calidad.

En algunos caso, cuando es necesario utilizar una prótesis total, y debido a la edad o por perdida de hueso, sobre todo en la mandíbula, la prótesis total (Placa Inferior), no tenga estabilidad o no se tenga control, es posible colocar mini implantes para conectar la prótesis total.


Una pequeña solución a un gran problema.
Es algo muy común hoy en día, la colocación de implantes para rehabilitar áreas donde se perdió un diente; pero también existe una solución al gran problema que representan las prótesis totales o placas.
Normalmente las prótesis totales representan un problema, sobre todo la inferior ya que por su tamaño y falta de soporte es difícil. Este común problema se refleja a los comentarios de los pacientes; el usar prótesis totales es muy parecido a andar en Bicicleta.
La finalidad de los Mini Implantes es servir como medio de conexión entre el hueso y la prótesis total. Mediante un sistema de hembra-macho.
La colocación de Mini Implantes es mucho mas sencilla que la de los convencionales, iniciando por diferencias de tamaño y diámetro. Además, de en la mayoría de los casos no es necesario realizar cirugía para colocarlos.
Otra de las ventajas, es el tiempo de colocación, que se lleva alrededor de 30 min., y el paciente se retira a reposo y en 1 semana, se le coloca la prótesis; incluso en varios casos, dependiendo de si se realizo cirugía o no, se puede colocar la prótesis el mismo día.


Algunas veces, cuando las prótesis totales, ya tienes algún tiempo, pueden quedar desajustadas, dependiendo de su estado, se puede realizar un rebase, que consiste en el espacio perdido por la edad entre la prótesis y el paladar o mandíbula, es rellenado y adaptado directamente. Lográndose una mejor estabilidad.


Extracciones convencionales, al colgajo y de cirugía menor.

Sistema de Radiografías y realizamos diagnosticó digital, con cámara intraoral.
|